Stare.
free (and worth it) subscription
nothing
   1996
   1997
   1998
   1999
   2000
   2001
   2002
   2003
   2004
   2005
   2006
   2007
   2008
   2009
   2010
   2011
   2012
   2013
   2014
   2015
   2016
   2017
   2018
   2019
   2020
   2021
   2022
   2023
   2024
   2025
nothing
   Art
   Cartoons
   Film
   Music
   Photography
   Miscellaneous
nothing
About
Contact
nothing
Legal

   
 
An Artist’s Notebook of Sorts

Last Weak  |  Index  |  Next Weak

Weak XXXIV

nothing

20 August 2025

gratuitous image

No. 9,381 (cartoon)

If music be the food of love, then roll over Beethoven.

You killed my appetite.

I dare you to tell Tchaikovsky.

21 August 2025

The Good Life

The journos at The Washington Post know how to write a slug that will sucker in a passing peruser like me. The most recent example is, What is a good life, and how can we create it? Forty-plus years of research has [sic] pointed to two answers.

“Sex and drugs and rock and roll!” the vestigial teenager in me replied. That answer confused me, since a diptych can be one and/or three things. I didn’t think about it long enough to reach a conclusion; the answer was indisputable.

Love and art.

That was so obvious that I didn’t bother to read the article, so the headline writers were hoisted by their own clickbait petard.

22 August 2025

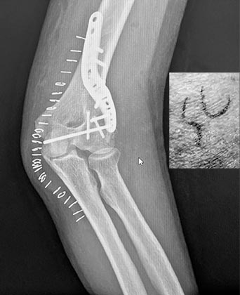
gratuitous image

The Titanium Club

Roscoe is my latest friend to join the Titanium Club; he went through his initiation this afternoon. I’m not talking about titanium cameras or bikes; everyone in the Titanium Club has parts of their aging carcasses held together by titanium plates, screws, and other bits of hardware.

Samuel Chun was the master of ceremonies and surgeon for the auspicious occasion, and I can see from one glance at the X-ray, even as a layperson, that he did a great job. Doctor Chung doesn’t suffer from false modesty, and he signed Roscoe’s skin after the long, complex operation.

I think that’s great! Good artists only sign good work, and I’m glad the physician takes pride in his accomplishments. If you’re thinking of joining the Titanium Club, pick up the blower and give him a call.

(And don’t waste a nickel on Suture Self; that’s certainly the worst do-it-yourself surgery book I’ve ever encountered.)

23 August 2025

Talkies, No Mail

I’m waiting until I’m old to be a consumer instead of a producer; that’s why I haven’t watched a movie in almost two years. That was when I agreed to accept Brian’s invitation to watch The Artist at his studio since the evening also featured a small buffet of tasty, unhealthy snacks and liters of libations.

I’m about to reveal the plot, so you may want to skip to the next paragraph if you haven’t seen it. The protagonist, a big Hollywood star during the silent film era, insists that talkies are just a passing fad. We all know where that story goes.

I was reminded of The Artist when I read that the Danish government will stop delivering letters after four hundred years. I was about to do the olde-man-shakes-head schtick when I tried to remember the last time I sent a personal letter. Let’s see; that may have been around nineteen somethety-something ... about the last time I saw a silent movie.

24 August 2025

A Somewhat Useful Label

I usually eschew labels, but they’re sometimes useful for guiding someone to the right neighborhood before explaining the specific address. That’s why I’m grateful to Rami Kaminski for coming up with a third alternative to Carl Jung’s concepts of introvert and extrovert.

Otrovert, or non-belonger.

As Kaminski explains, “The fundamental orientation of a non-belonger is defined by the fact that it is rarely the same direction that everyone else is facing. And because they define success by what they achieve, not what they achieve in relation to others, they are more fulfilled creatively.”

Again, I don’t think being pigeonholed is helpful, but if I have to be tagged, “otrovert” is usually better than “dirty old man.”

25 August 2025

Return of the Grave Robbers and Body Snatchers

Everything old is new again, including vinyl records, analog photography, and grave robbing.

When I was in England in the nineties, I met a bloke who was the first person convicted of grave robbery in a hundred and fifty years or so. Or something like that. As I recall, a phrase that means nothing these days, he was motivated by art, not commerce, so I didn’t think much of it.

I remembered the guy I can’t remember when I read about The Latest Thing: body snatching. Yep, trafficking in human remains is big business. Why, there’s even a new subscription service: Skull of the Month! Demand demands supply, so I imagine that a lot of would-be Igors are out there with picks and shovels looking for a quick skull and a quick buck.

(As a literary aside, Mary Shelley never mentioned Doctor Frankenstein working with a Fritz, Igor, Ygor, or any other assistant in her novel; filmmakers created all of ’em.)

If your taste in body parts goes beyond your basic Shakespearean skull, then you got your shrunken heads, your mummified human remains, and all sorts of things from the functional to the decorative made from human leather. I’ve been too lazy to look, but if there’s not an Ed Gein lampshade for sale somewhere, there will be.

Finally, if you’re feeling smug because you’ve arranged for your corpse to be reduced to ashes, do you have any assurance that the crematorium’s not a front for the body snatchers?

26 August 2025

New Wowld Scwewwowms!

And this just in from the If It Ain’t One Thing It’s Another Department: We’re being invaded by a new flavor of flesh-eating parasite, the New World screwworm. (I have no idea why the parasite police don’t capitalize “screwworm.”)

But not to worry, Robert F. Kennedy Jr. addressed the problem immediately, citing previous invasions of killer parasites such as Chagas disease, a malady that afflicts roughly a third of a million Americans and is more deadly than malaria in Latin America.

“Look,” he explained, “all we had to do was a public education campaign pointing out that the disease is spread by kissing bugs, and no one’s against kissing. That’s how you end the panic over a lethal parasite.”

He went on to announce that officials at the Department of Health and Human Services had concluded that the name “screwworm” was the main cause of concern. To address the developing crisis, all government spokespersons would imitate Elmer Fudd when talking about the screwworms, er, New Wowld Scwewwowms.

“Everyone can laugh at Elmer’s speech impediment,” he concluded, “so there’s no reason to worry.”

What, me worry about murderous flesh-eating parasites? If you can’t trust a charlatan like Robert F. Kennedy Jr., then there’s no one you can trust at the Department of Health and Human Services.

27 August 2025

gratuitous image

Where I Stand

When I visited Annette at her community college, I was struck by the little homemade posters taped up all over the campus. Everyone there seemed so optimistic and happy about the lifetime of drudgery on the edge of poverty that awaited them.

Most of them were saccharin twaddle, e.g., “Chase your dreams and they will follow you.” I did spot one that featured one of Martin Luther King’s stock quotes along with a horrible caricature of his face.

“The ultimate measure of a man is not where he stands in moments of convenience and comfort, but where he stands at times of challenge and controversy”

—Martin Luther King Jr.
(Student Recommended)

(The parenthetical remark was unnecessary; the student involvement was obvious from the missing punctuation. Oy, Kids These Days full stop)

I came across the little poster in the art department. I doubt anyone there would be mature enough to make an installation piece that was so clever, but I saw it as a nice little piece of conceptual art. The only way you could read King’s thoughts about where a man stands was by sitting on a toilet in the men’s bathroom.

I liked it. When it comes to taking a stand, I usually sit.

Coming next weak: more of the same.

Stare.

Last Weak  |  Index  |  Next Weak
©2025 David Glenn Rinehart

nothing nothing nothing nothing